求救 求救求救 懂的医师 专家 麻烦耽误几分钟给我

图片尺寸 390x520
上传时间 2026-03-18 23:45:24

图片链接

缩略图
原图
外链

相关图片

请医生看一下我的小舌头 最近感觉痰很多老是咳嗽 嗓子有异物感 听说

请医生看一下我的小舌头 最近感觉痰很多老是咳嗽 嗓子有异物感 听说

舌头根后面有个 类似小舌头的东西.

舌头根后面有个 类似小舌头的东西.

小舌头

小舌头

这个舌头根部红有裂纹有小泡具体是什么症状,脾胃不好,肾有问题么?

这个舌头根部红有裂纹有小泡具体是什么症状,脾胃不好,肾有问题么?

舌头里面,舌根处长了很多小疙瘩,是怎么回事?

舌头里面,舌根处长了很多小疙瘩,是怎么回事?

小儿舌根长些突起淡红色质地如鼻尖没有其他伴随症状考虑是什么

小儿舌根长些突起淡红色质地如鼻尖没有其他伴随症状考虑是什么

男的舌根长肉疙瘩几年了吞咽比较困难

男的舌根长肉疙瘩几年了吞咽比较困难

我舌头舌根这是怎么了?

我舌头舌根这是怎么了?

大家的舌根是都这样吗还是只有我这样

大家的舌根是都这样吗还是只有我这样

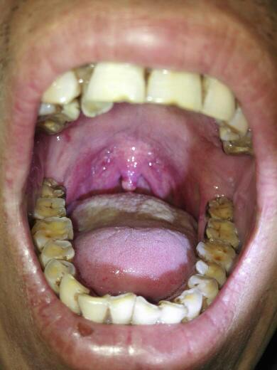
腭裂术后2个月

腭裂术后2个月

随机推荐

faker

faker

金杯s70价格企稳暂无优惠 售7.98万元起

金杯s70价格企稳暂无优惠 售7.98万元起

丑陋,狗,卡通,插画_高清图片_全景视觉

丑陋,狗,卡通,插画_高清图片_全景视觉

20张极简的黑白摄影作品,光影之美,提升审美!_生活_日期_是一种

20张极简的黑白摄影作品,光影之美,提升审美!_生活_日期_是一种

巫婆,万圣节,鬼

巫婆,万圣节,鬼

不念过往不畏将来励志微信头像【点击鼠标右键下载】

不念过往不畏将来励志微信头像【点击鼠标右键下载】

2018年与大49岁谢贤恋爱12年拿2000万分手费的coco现在怎样了

2018年与大49岁谢贤恋爱12年拿2000万分手费的coco现在怎样了

你后悔远嫁了吗

你后悔远嫁了吗

奥特曼的八大绝招之一   艾斯断头刀

奥特曼的八大绝招之一 艾斯断头刀

陈思诚陈思诚个人星座

陈思诚陈思诚个人星座