【ct技术】脂肪瘤/脑膜瘤/重建算法与显示窗宽窗位/扫描视野与重建

图片尺寸 504x505
上传时间 2026-03-18 20:51:22

图片链接

缩略图
原图
外链

相关图片

【读片】女 41岁 脑部脂肪密度病灶,请指点

【读片】女 41岁 脑部脂肪密度病灶,请指点

颅内脂肪瘤影像诊断及鉴别诊断

颅内脂肪瘤影像诊断及鉴别诊断

脑子进「脂肪」了:小儿颅内脂肪瘤一例

脑子进「脂肪」了:小儿颅内脂肪瘤一例

同一脑囊虫病患者,图 17(上)见大脑半球多发钙化,图 18(下)t1wi 增强

同一脑囊虫病患者,图 17(上)见大脑半球多发钙化,图 18(下)t1wi 增强

图 7 大脑镰脑膜瘤中心结节样钙化(2)脑膜瘤多中心钙化甚至完全钙化

图 7 大脑镰脑膜瘤中心结节样钙化(2)脑膜瘤多中心钙化甚至完全钙化

大脑镰旁那是什么

大脑镰旁那是什么

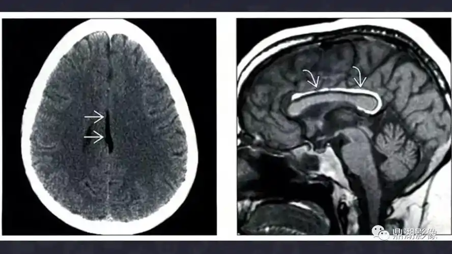
轴位 t1 加权图(a)显示大的,中线,大脑半球间脂肪瘤,位于双侧侧脑室

轴位 t1 加权图(a)显示大的,中线,大脑半球间脂肪瘤,位于双侧侧脑室

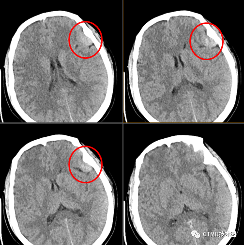
易误诊为出血的大脑镰钙化,你会看吗?

易误诊为出血的大脑镰钙化,你会看吗?

红箭所指的大脑镰局部呈连续的长条状高密度影,容易被误诊为少量蛛血

红箭所指的大脑镰局部呈连续的长条状高密度影,容易被误诊为少量蛛血

郭金叶,女,右侧大脑镰旁脑膜瘤

郭金叶,女,右侧大脑镰旁脑膜瘤

随机推荐

最新减龄显瘦梨花头内扣式短发图片

最新减龄显瘦梨花头内扣式短发图片

画一副夕阳西下,一对老年夫妻相互搀扶在公园散步

画一副夕阳西下,一对老年夫妻相互搀扶在公园散步

七夕送礼~翡翠蛋面吊坠

七夕送礼~翡翠蛋面吊坠

林青霞,秦汉怀旧照片_林青霞_怀旧_秦汉

林青霞,秦汉怀旧照片_林青霞_怀旧_秦汉

小起,半藏森林,汉服,汉元素

小起,半藏森林,汉服,汉元素

《白鸽》尾奏solo部分双排键乐谱来啦~钢琴也可以弹~点击主 - 抖音

《白鸽》尾奏solo部分双排键乐谱来啦~钢琴也可以弹~点击主 - 抖音

国六飞翼车价格,国六大单桥9米6飞翼车,9米6飞翼车厢批发

国六飞翼车价格,国六大单桥9米6飞翼车,9米6飞翼车厢批发

古风闺蜜头像

古风闺蜜头像

现实陈数杨天真生气了生气soogifsoogif出品gif动图_动态图_表情包

现实陈数杨天真生气了生气soogifsoogif出品gif动图_动态图_表情包

蒋小涵7岁出道36岁当妈妈爱情事业双丰收

蒋小涵7岁出道36岁当妈妈爱情事业双丰收