首页 / 肺部结节胸片 / 图片详情

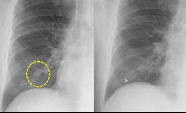
图文详解丨如何判断孤立性肺结节是良性还是恶性?

图片尺寸 606x370
上传时间 2026-03-17 21:28:01

图片链接

缩略图
原图
外链

相关图片

肺结节为什么在4年后发展到了晚期?从早期到晚期需要多长时间?

肺结节为什么在4年后发展到了晚期?从早期到晚期需要多长时间?

【讨论】30岁男性,体检发现右下肺结节影

【讨论】30岁男性,体检发现右下肺结节影

话题讨论:两位老人的磨玻璃结节的6年变化_肺部结节_肺部结节就诊指导

话题讨论:两位老人的磨玻璃结节的6年变化_肺部结节_肺部结节就诊指导

【读片】胸部多发结节!(多思考,别想当然) [病例帖]

【读片】胸部多发结节!(多思考,别想当然) [病例帖]

发热右下肺结节1例

发热右下肺结节1例

影像读片:两肺多发结节 [病例帖]

影像读片:两肺多发结节 [病例帖]

右下肺那个小结节是什么还是正常的什么

右下肺那个小结节是什么还是正常的什么

肺部结节_肺部结节介绍 - 好大夫在线

肺部结节_肺部结节介绍 - 好大夫在线

【影像读片】两肺周围结节,请高手指点 [病例帖]

【影像读片】两肺周围结节,请高手指点 [病例帖]

【影像读片】肺结节

【影像读片】肺结节

随机推荐

例如,kk集团旗下的the colorist调色师,仅于4-5月间便开出了50家,如今

例如,kk集团旗下的the colorist调色师,仅于4-5月间便开出了50家,如今

这3个标准才算正常

这3个标准才算正常

经典歌曲简谱

经典歌曲简谱

32支代表队参赛(记者张庶卓 摄)

32支代表队参赛(记者张庶卓 摄)

3d小人工程ppt图标素材

3d小人工程ppt图标素材

美好的一天   结束了!

美好的一天 结束了!

下雨天凉快哟!

下雨天凉快哟!

鞋子的牌子

鞋子的牌子

葆初心——长沙汽车工业学校开展"学党史 听党话 跟党走"手抄报评比

葆初心——长沙汽车工业学校开展"学党史 听党话 跟党走"手抄报评比

【真人】手机挡脸女头

【真人】手机挡脸女头