首页 / 肱骨髁间骨折 / 图片详情

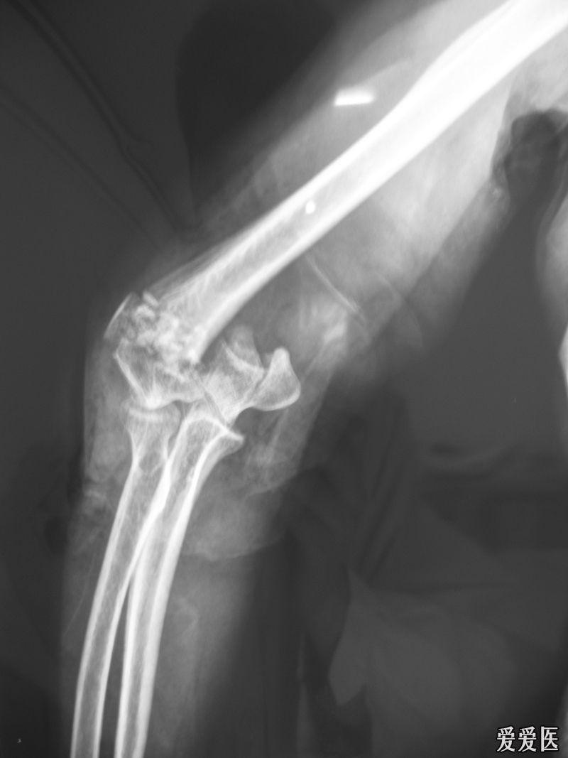
右肱骨髁间粉碎性骨折

图片尺寸 800x1067
上传时间 2026-03-19 11:04:55

图片链接

缩略图
原图
外链

相关图片

肱骨髁间骨折一例

肱骨髁间骨折一例

肱骨髁上髁间粉碎性骨折

肱骨髁上髁间粉碎性骨折

老年肱骨髁间粉碎性骨折 (原创)

老年肱骨髁间粉碎性骨折 (原创)

儿童肱骨髁上骨折微创十连锁1#骨折微创手术 #微创手术  - 抖音

儿童肱骨髁上骨折微创十连锁1#骨折微创手术 #微创手术 - 抖音

科普时间 儿童肱骨髁上骨折~ - 好大夫在线

科普时间 儿童肱骨髁上骨折~ - 好大夫在线

右肱骨干及髁间骨折切复内固定术

右肱骨干及髁间骨折切复内固定术

儿童肱骨髁上骨折保守治疗

儿童肱骨髁上骨折保守治疗

右肱骨髁上,髁间粉碎性骨折

右肱骨髁上,髁间粉碎性骨折

左侧肱骨髁上骨折一例

左侧肱骨髁上骨折一例

右肱骨髁上,髁间粉碎性骨折

右肱骨髁上,髁间粉碎性骨折

随机推荐

纯色壁纸高清 | 纯色背景图磨砂

纯色壁纸高清 | 纯色背景图磨砂

国民妹妹童星金裕贞的星路历程

国民妹妹童星金裕贞的星路历程

酸梅酱广式特产烧鹅酱冰花梅子酱烤鸭叉烧青梅酱调料200g 酸梅酱

酸梅酱广式特产烧鹅酱冰花梅子酱烤鸭叉烧青梅酱调料200g 酸梅酱

猫鼠同框#焦恩俊 #实力派演员 #影视剪辑 #白玉堂#展昭

猫鼠同框#焦恩俊 #实力派演员 #影视剪辑 #白玉堂#展昭

女孩子身高155体重110你们觉得是什么感觉? - 知乎

女孩子身高155体重110你们觉得是什么感觉? - 知乎

阿拉伯数字书写工整漂亮,除了认真态度外,还需要具备对数字书写规律的

阿拉伯数字书写工整漂亮,除了认真态度外,还需要具备对数字书写规律的

28字七言绝句律唐诗正欧楷书法作品定制手工代写毛笔字画装饰真迹

28字七言绝句律唐诗正欧楷书法作品定制手工代写毛笔字画装饰真迹

可惜日本350斤相扑横纲大将宣布退役美女娇妻却坦言压力很大

可惜日本350斤相扑横纲大将宣布退役美女娇妻却坦言压力很大

20平小户型装修案例赏析

20平小户型装修案例赏析

英国国旗

英国国旗