首页 / 左足舟骨 / 图片详情

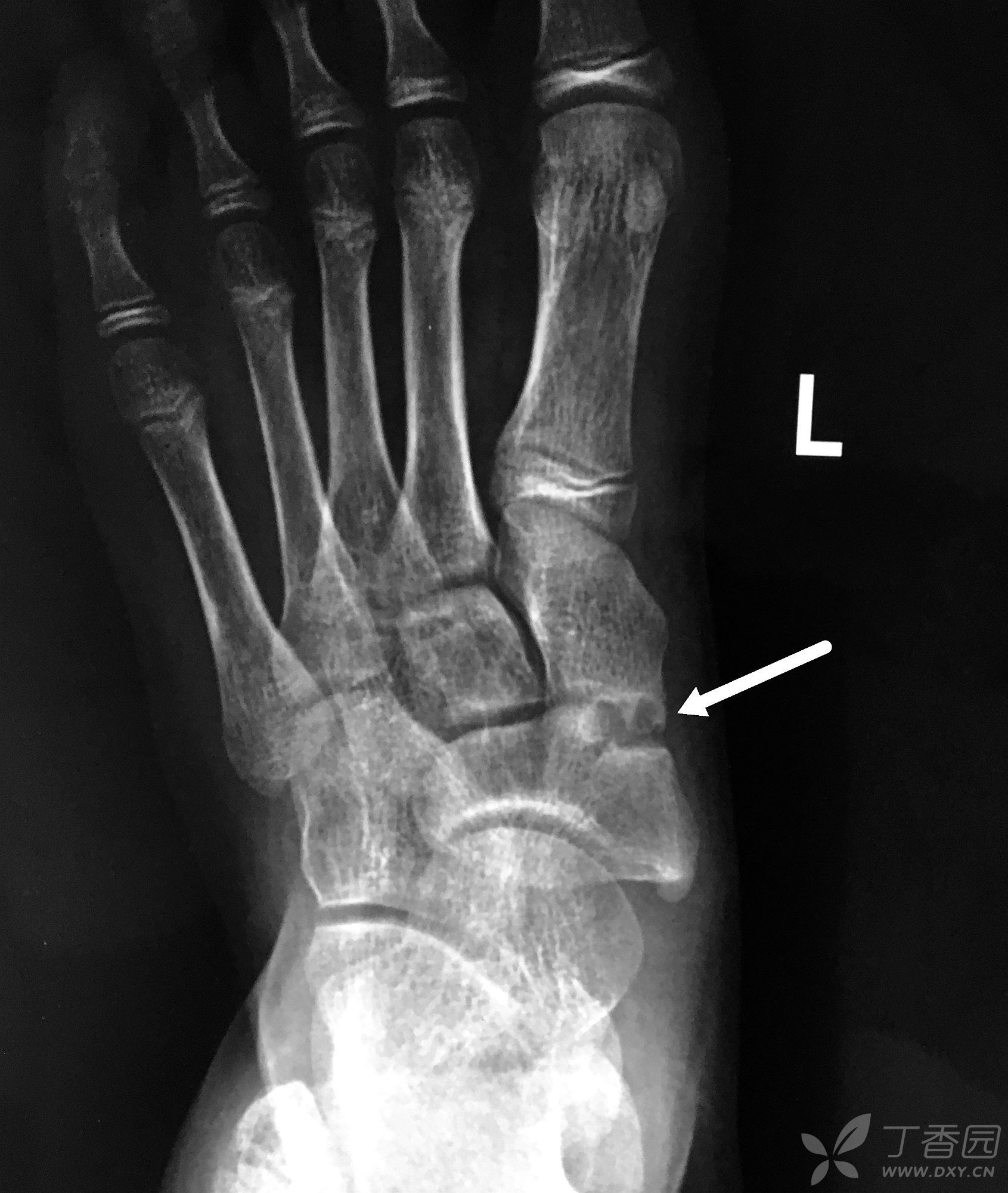
左足舟骨病变,您考虑是啥? [病例帖]

图片尺寸 1691x2000
上传时间 2026-03-17 01:57:52
关键词 左足舟骨

图片链接

缩略图
原图
外链

相关图片

患者主诉:患者为扁平足,双足副舟骨且足部疼痛.

患者主诉:患者为扁平足,双足副舟骨且足部疼痛.

【读片】左足舟骨改变,大家怎么看?

【读片】左足舟骨改变,大家怎么看?

改善腿型  #扁平足  #外八字脚  #副舟骨  #xo型腿

改善腿型 #扁平足 #外八字脚 #副舟骨 #xo型腿

左足舟骨粉碎性骨折

左足舟骨粉碎性骨折

足舟骨突出疼痛该怎么治疗

足舟骨突出疼痛该怎么治疗

左足舟骨病变,您考虑是啥? [病例帖]

左足舟骨病变,您考虑是啥? [病例帖]

足舟骨

足舟骨

右足舟骨骨折断端稍错位有什么影响-图片大观-奇异网

右足舟骨骨折断端稍错位有什么影响-图片大观-奇异网

骨科专业讨论版 关节 临床诊断:1,足舟骨骨折(骨骺?陈旧性骨折?

骨科专业讨论版 关节 临床诊断:1,足舟骨骨折(骨骺?陈旧性骨折?

左足舟骨病变,您考虑是啥? [病例帖]

左足舟骨病变,您考虑是啥? [病例帖]

随机推荐

其实成龙年轻的时候很帅的

其实成龙年轻的时候很帅的

调色真是要我的命@多情公子_yukari@一杯零度冰水姐妹,陈松伶嗑不嗑?

调色真是要我的命@多情公子_yukari@一杯零度冰水姐妹,陈松伶嗑不嗑?

霸王别姬首映29周年陈凯歌张国荣的巅峰作但非巩俐最经典

霸王别姬首映29周年陈凯歌张国荣的巅峰作但非巩俐最经典

简约自然直发发型夏季女生最爱的直发发型

简约自然直发发型夏季女生最爱的直发发型

钟镇涛背后的两个女人章小蕙让他倾家荡产范姜为他还债1亿

钟镇涛背后的两个女人章小蕙让他倾家荡产范姜为他还债1亿

海报大小海报大小尺寸的基本介绍

海报大小海报大小尺寸的基本介绍

大牙周宜霈遭黑人陈建州性骚扰,单披浴袍被环抱:搞不好你会喜欢

大牙周宜霈遭黑人陈建州性骚扰,单披浴袍被环抱:搞不好你会喜欢

山地救护车未来交通工具概念设计

山地救护车未来交通工具概念设计

成毅古装角色混剪

成毅古装角色混剪

手机壁纸超仙超美的古风壁纸真的绝了

手机壁纸超仙超美的古风壁纸真的绝了