该怎么办.

图片尺寸 3264x2448
上传时间 2026-03-17 01:04:04

图片链接

缩略图
原图
外链

相关图片

脂肪瘤脖子皮脂腺囊肿图可发生于颈部,患者一般无自觉症状,无意中发现

脂肪瘤脖子皮脂腺囊肿图可发生于颈部,患者一般无自觉症状,无意中发现

"我指着颈部的小疙瘩说:"这里不知道

"我指着颈部的小疙瘩说:"这里不知道

全民疫苗知识节##健康科普##全民慢病健康科普计划

全民疫苗知识节##健康科普##全民慢病健康科普计划

脖子肿块皮脂腺囊肿图

脖子肿块皮脂腺囊肿图

脂肪瘤|手术|富贵_网易订阅

脂肪瘤|手术|富贵_网易订阅

别再犯错了|囊肿|脂肪瘤|纤维瘤|皮赘_网易订阅

别再犯错了|囊肿|脂肪瘤|纤维瘤|皮赘_网易订阅

脖子上出现这3种东西可能癌细胞已经醒了

脖子上出现这3种东西可能癌细胞已经醒了

皮脂腺囊肿

皮脂腺囊肿

长在脖子后面的脂肪瘤今天去做了.

长在脖子后面的脂肪瘤今天去做了.

但是当该纤维瘤不断长大时,需要介入治疗.

但是当该纤维瘤不断长大时,需要介入治疗.

随机推荐

你眼中的痛仰乐队是什么样的

你眼中的痛仰乐队是什么样的

动漫二次元恋人cp头像

动漫二次元恋人cp头像

短头发的秦岚,不仅好看,气质拉满.

短头发的秦岚,不仅好看,气质拉满.

情侣头像壁纸

情侣头像壁纸

"枪爷"machine gun kelly 越来越疯了,纹身将皮肤涂全黑!

"枪爷"machine gun kelly 越来越疯了,纹身将皮肤涂全黑!

绘画教程未闻战斗胜佛只识齐天大圣史诗级震撼制作

绘画教程未闻战斗胜佛只识齐天大圣史诗级震撼制作

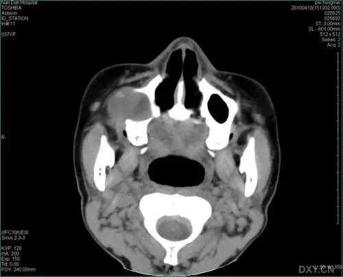
【病例讨论】上颌骨囊肿,请各位老师指点 [病例帖]

【病例讨论】上颌骨囊肿,请各位老师指点 [病例帖]

86系列推拉窗

86系列推拉窗

财运亨通,心想事成 - 九儿壁纸窝 - 图虫

财运亨通,心想事成 - 九儿壁纸窝 - 图虫

疆怎么写好看疆字的书法写法疆毛笔书法欣赏

疆怎么写好看疆字的书法写法疆毛笔书法欣赏