跗骨的损伤检查骰骨的外侧皮质是否有微小的撕脱骨折:舟骨背侧和距

图片尺寸 858x911
上传时间 2026-03-17 02:05:37

图片链接

缩略图
原图
外链

相关图片

前方的足舟骨;前列为内侧楔骨,中间楔骨,外侧楔骨及跟骨前方的骰骨

前方的足舟骨;前列为内侧楔骨,中间楔骨,外侧楔骨及跟骨前方的骰骨

问题页

问题页

足骨之骰骨篇2019年6月21日(7)

足骨之骰骨篇2019年6月21日(7)

中足外侧痛的常见原因骰骨错位力学分析与康复

中足外侧痛的常见原因骰骨错位力学分析与康复

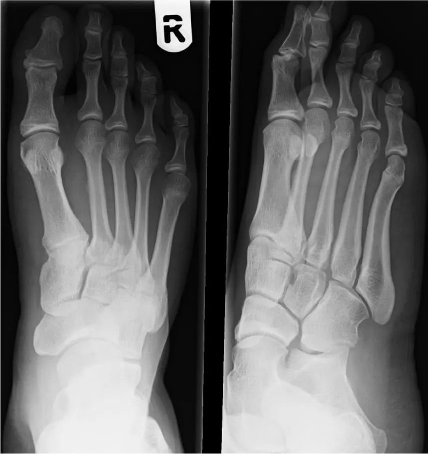
足正位片足斜位片:可以看到踝部(胫腓骨远端,距骨,跟骨),足舟骨,骰骨

足正位片足斜位片:可以看到踝部(胫腓骨远端,距骨,跟骨),足舟骨,骰骨

正常新生儿足部x线片可见跟,距和骰骨的化骨中心.

正常新生儿足部x线片可见跟,距和骰骨的化骨中心.

顾连芒果科普 | 关于扁平足,你需要了解的一些小科普 - 知乎

顾连芒果科普 | 关于扁平足,你需要了解的一些小科普 - 知乎

如下图所示:趾骨,跖骨,和跗骨构成跖趾关节和跗跖关节;跗骨包括:骰骨

如下图所示:趾骨,跖骨,和跗骨构成跖趾关节和跗跖关节;跗骨包括:骰骨

足斜位片足斜位片:可以看到踝部(胫腓骨远端,距骨,跟骨),足舟骨,骰骨

足斜位片足斜位片:可以看到踝部(胫腓骨远端,距骨,跟骨),足舟骨,骰骨

第一趾骨和骰骨两处骨折于是有了p622听到结果的我吓哭了(人生第一

第一趾骨和骰骨两处骨折于是有了p622听到结果的我吓哭了(人生第一

随机推荐

2014mama颁奖典礼 朴宝英连衣裙

2014mama颁奖典礼 朴宝英连衣裙

杨紫李现晒结婚照官宣?婚礼现场曝光,偷偷撒糖也太甜了吧

杨紫李现晒结婚照官宣?婚礼现场曝光,偷偷撒糖也太甜了吧

陆毅炎亚纶携《亲爱的味道》上线 郭采洁演技遭吐槽

陆毅炎亚纶携《亲爱的味道》上线 郭采洁演技遭吐槽

百变星君:星爷最后时刻悔悟,将自己的老爸救活!

百变星君:星爷最后时刻悔悟,将自己的老爸救活!

每日图片芽衣pm

每日图片芽衣pm

布地奈德福莫特罗粉吸入剂(信必可都保)

布地奈德福莫特罗粉吸入剂(信必可都保)

飞天凤凰

飞天凤凰

15377183情侣帅过男朋友的情侣装

15377183情侣帅过男朋友的情侣装

3d立体画,一起学起来~今日备课,创作3d立体画,学习一点透 - 抖音

3d立体画,一起学起来~今日备课,创作3d立体画,学习一点透 - 抖音

蔡徐坤暂缓现场出席tmea盛典,网友:把退货说得这么清丽脱俗_处理_活动

蔡徐坤暂缓现场出席tmea盛典,网友:把退货说得这么清丽脱俗_处理_活动