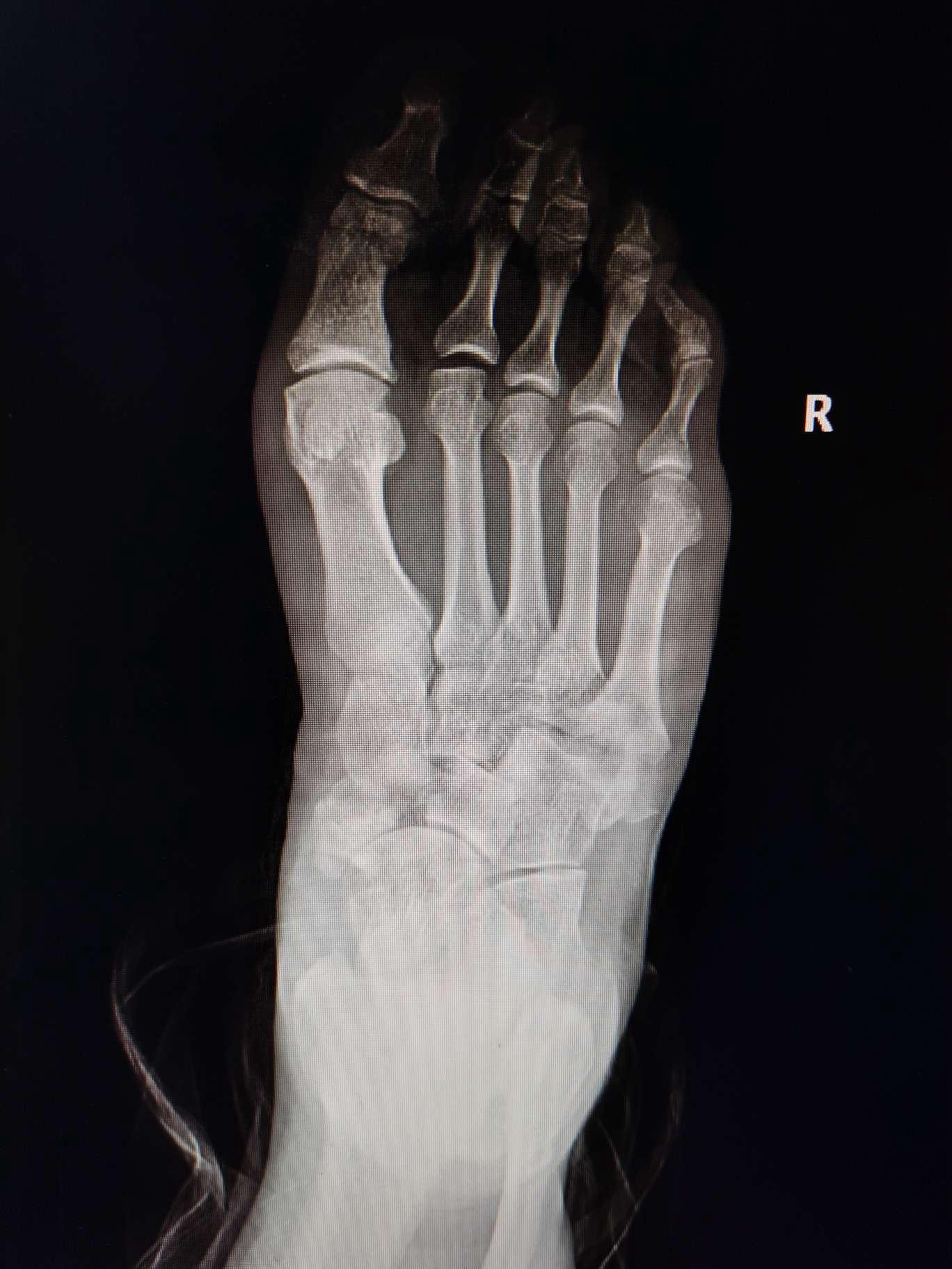
一例足舟骨第五跖骨基底粉碎性骨折的治疗

图片尺寸 1368x1824
上传时间 2026-03-17 01:56:35

图片链接

缩略图
原图
外链

相关图片

右脚骨折

右脚骨折

右足第3,4,5趾骨骨折

右足第3,4,5趾骨骨折

此例跖骨骨折治疗

此例跖骨骨折治疗

突然想起来好久没发视频了(听说太久不发会被限流) 脚骨折了, - 抖音

突然想起来好久没发视频了(听说太久不发会被限流) 脚骨折了, - 抖音

跖骨多发骨折(霸州市中医院骨科李艳阳团队)~创伤篇

跖骨多发骨折(霸州市中医院骨科李艳阳团队)~创伤篇

脚祼骨折记事 - 知乎

脚祼骨折记事 - 知乎

清明节不小心把脚后跟骨折了!现在术后一周了,每天晚上脚踝处还是很疼

清明节不小心把脚后跟骨折了!现在术后一周了,每天晚上脚踝处还是很疼

脚内踝骨折 - 知乎

脚内踝骨折 - 知乎

右脚第二第四跖骨(脚趾骨)骨折0101

右脚第二第四跖骨(脚趾骨)骨折0101

跖跗关节完全脱位伴第2,4跖骨头骨折

跖跗关节完全脱位伴第2,4跖骨头骨折

随机推荐

创意一次性磨砂砂轮火石打火机广告定制定做印字一次性打火机

创意一次性磨砂砂轮火石打火机广告定制定做印字一次性打火机

二十三年前与林心如差点结婚,如今已是三个孩子的父亲,家产百亿

二十三年前与林心如差点结婚,如今已是三个孩子的父亲,家产百亿

椎体成形术手术示意图

椎体成形术手术示意图

中长发大卷高层次烫发发型!

中长发大卷高层次烫发发型!

梦幻少女心爆棚房间图电脑桌面壁纸

梦幻少女心爆棚房间图电脑桌面壁纸

记事本-陈慧琳双手简谱预览1

记事本-陈慧琳双手简谱预览1

平头哥到底有多猛?面对鬣狗丝毫不慌张,狮子见到都要给它面子

平头哥到底有多猛?面对鬣狗丝毫不慌张,狮子见到都要给它面子

龙王 卡通

龙王 卡通

蜡笔小新の系列油画壁纸

蜡笔小新の系列油画壁纸

龙珠潮流插画壁纸

龙珠潮流插画壁纸