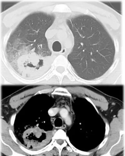
【影像读片】16岁男孩,体检时发现右肺空洞,无任何症状

图片尺寸 4208x3120
上传时间 2026-03-17 21:27:47

图片链接

缩略图
原图
外链

相关图片

讨论肺部空洞

讨论肺部空洞

肺大泡,肺气囊,空洞 - 抖音

肺大泡,肺气囊,空洞 - 抖音

【影像读片】16岁男孩,体检时发现右肺空洞,无任何症状

【影像读片】16岁男孩,体检时发现右肺空洞,无任何症状

【影像读片】两肺多发空腔/洞-不太常见的表现【结果已公布】

【影像读片】两肺多发空腔/洞-不太常见的表现【结果已公布】

肺空洞,良恶性? 你来定 - 影像医学和核医学讨论版 -丁香园论坛

肺空洞,良恶性? 你来定 - 影像医学和核医学讨论版 -丁香园论坛

【读片】右上肺空洞病变 - 影像医学和核医学讨论版 -丁香园论坛

【读片】右上肺空洞病变 - 影像医学和核医学讨论版 -丁香园论坛

【影像读片】16岁男孩,体检时发现右肺空洞,无任何症状

【影像读片】16岁男孩,体检时发现右肺空洞,无任何症状

7种肺部常见空洞性疾病

7种肺部常见空洞性疾病

【影像读片】16岁男孩,体检时发现右肺空洞,无任何症状

【影像读片】16岁男孩,体检时发现右肺空洞,无任何症状

肺部空洞病灶的影像诊断

肺部空洞病灶的影像诊断

随机推荐

炸裂男子在ktv表白女同事激动之下狂撩对方短裙被踢断下体

炸裂男子在ktv表白女同事激动之下狂撩对方短裙被踢断下体

呆萌可爱的卡通动漫女生头像图片

呆萌可爱的卡通动漫女生头像图片

侯主播和妈妈林月云神奇的台式驭夫术

侯主播和妈妈林月云神奇的台式驭夫术

国家队02壁纸 想要的可以点下7815 就可以私信作者哦

国家队02壁纸 想要的可以点下7815 就可以私信作者哦

腾讯视频发布时间:2019-10-2541:47李绍光院长健康系列讲道7--8简介

腾讯视频发布时间:2019-10-2541:47李绍光院长健康系列讲道7--8简介

2021款奥迪s3 是不是你的菜

2021款奥迪s3 是不是你的菜

成龙与史泰龙同框出镜,这握手是在比拼实力吗!

成龙与史泰龙同框出镜,这握手是在比拼实力吗!

"小鬼当家"--历城区珑城幼儿园小小值日生上岗记 - 海报新闻

"小鬼当家"--历城区珑城幼儿园小小值日生上岗记 - 海报新闻

《永远的君主》定档,李敏镐跨时空蜜恋,和《爱的迫降》一样甜_金高_剧

《永远的君主》定档,李敏镐跨时空蜜恋,和《爱的迫降》一样甜_金高_剧

乌贼王战术分析!

乌贼王战术分析!