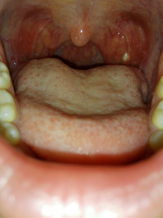
前几天吞咽有点疼痛,看到口腔内壁有个白点,不痛,就是有点膈应.

图片尺寸 555x740
上传时间 2026-03-19 00:05:57

图片链接

缩略图
原图
外链

相关图片

请问口腔内壁上那些突起肿块是什么看的话

请问口腔内壁上那些突起肿块是什么看的话

口腔里肿痛明显红肿起来咀嚼吞咽东西时

口腔里肿痛明显红肿起来咀嚼吞咽东西时

然后肉都有点翻起来,还有就是上面的口腔内壁感觉多长了块肉一样不痛

然后肉都有点翻起来,还有就是上面的口腔内壁感觉多长了块肉一样不痛

求口腔科专家解答这是什么情况.谢谢

求口腔科专家解答这是什么情况.谢谢

口腔内部高清晰图片

口腔内部高清晰图片

不知道是口腔溃疡还是啥?也不疼,反正就是可以感觉到里面的肉烂了

不知道是口腔溃疡还是啥?也不疼,反正就是可以感觉到里面的肉烂了

正常口腔黏膜及常见病损图

正常口腔黏膜及常见病损图

口腔颊部里面有白色条纹.如图.是不是扁平

口腔颊部里面有白色条纹.如图.是不是扁平

一,口腔 界限: 前壁: 口唇 上壁: 腭 下壁: 口腔底 黑龙江中医药大学

一,口腔 界限: 前壁: 口唇 上壁: 腭 下壁: 口腔底 黑龙江中医药大学

嘴巴里面最红的那里好痛,有医生可以帮忙看下吗?嘴巴都张不开

嘴巴里面最红的那里好痛,有医生可以帮忙看下吗?嘴巴都张不开

随机推荐

成功离婚的夫妻领到离婚证.

成功离婚的夫妻领到离婚证.

【家乡的70年61卫生篇】香河县人民医院

【家乡的70年61卫生篇】香河县人民医院

刻字景观石--北海艺术设计学院-礼节

刻字景观石--北海艺术设计学院-礼节

彭于晏 帅气搞怪

彭于晏 帅气搞怪

正装商务范儿的帅哥,是你的菜吗?_高清图集_新浪网

正装商务范儿的帅哥,是你的菜吗?_高清图集_新浪网

《斗罗大陆2》正式开机,张予曦饰演小舞,唐三扮演者仍未能归来

《斗罗大陆2》正式开机,张予曦饰演小舞,唐三扮演者仍未能归来

晒黑发朋友圈的搞笑句子表达晒黑了搞笑语录

晒黑发朋友圈的搞笑句子表达晒黑了搞笑语录

陈赫的照片你哪来的

陈赫的照片你哪来的

重庆新牌坊立交

重庆新牌坊立交

【萤火虫(刘明将词 梁海燕曲)简谱】萤火虫(刘明将词 梁海燕曲)简谱

【萤火虫(刘明将词 梁海燕曲)简谱】萤火虫(刘明将词 梁海燕曲)简谱